
Bonding
Bonding to metoda rekonstrukcji powierzchni zęba, która pozwala na zmianę wyglądu zębów. Dzięki przeprowadzeniu zabiegu przy wykorzystaniu tej techniki można uzyskać prostsze zęby już podczas jednej wizyty w gabinecie. Używając żywicy kompozytowej i zjawiska adhezji (przylegania) uzyskuje się wspaniałe efekty estetyczne i piękny uśmiech.

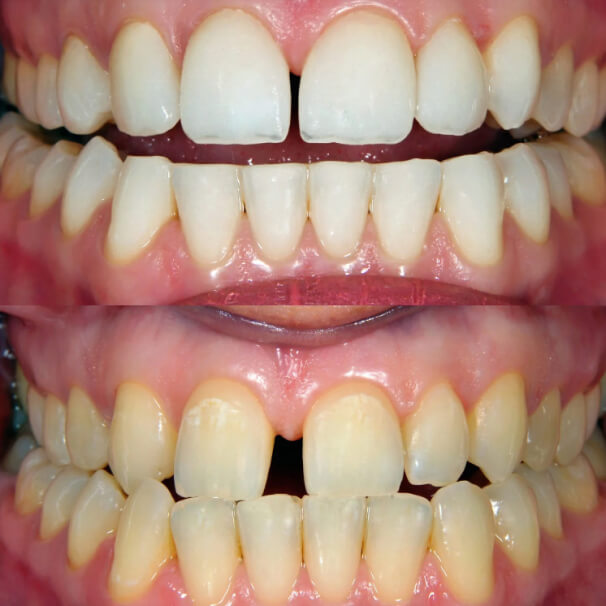
Bonding zębów – czyli zmiana kształtu oraz koloru zębów za pomocą kompozytu.
Rodzaje wykonywanego bondingu:
- Bonding – Estetyczna zmiana kształtu zęba kompozytem
- Licówki kompozytowe
- Inlay, onlay, overlay kompozytowy
- Flow injection
Podczas zabiegu ząb, który ma być poddany bondingowi, zostaje przygotowany poprzez delikatne zmatowienie jego powierzchni. Następnie na ząb aplikowany jest kwas fosforowy, który tworzy mikroskopijne otwory, zwiększając przyczepność materiału kompozytowego do powierzchni zęba. Kolejnym etapem jest nałożenie żywicy , która dopasowywana jest do kształtu zęba i modelowana. Po ukształtowaniu kompozytu, następuje etap utwardzania. Proces ten odbywa się przy pomocy specjalnej lampy polimeryzacyjnej. Po utwardzeniu ostatnim etapem jest precyzyjne kształtowanie i polerowanie zębów.

Czy bonding zębów jest bezpieczny?
Tak, bonding zębów jest bezpieczny dla szkliwa, gdyż nie wymaga jego szlifowania. Czasami jest to zmatowienie szkliwa
Jakie są wskazania i przeciwskazania do bondingu?
Podstawowe wskazania do bondingu zębów:
- pęknięcia zębów,
- drobne złamania korony zęba,
- przerwy między zębami,
- widoczne wypełnienia,
- wyszczerbienia w zębach,
- ukruszenia zębów,
- przebarwienia i nierówny koloryt,
Przeciwwskazania do bondingu zębów:
- Braki skrzydłowe w uzębieniu
- rozległe wypełnienia,
- nadmierne ścieranie zębów,
- poważne problemy z dziąsłami,
- stan zapalny przyzębia brzeżnego.
- duże ubytki próchnicowe
Jak długo efekty bondingu utrzymują się na zębach?
- Bonding zębów jest estetycznym zabiegiem stomatologicznym, którego efekty mogą utrzymywać się na zębach przez okres od 4 do 8 lat. Trwałość tej metody zależy od szeregu czynników, w tym od tego, czy pacjent nie ma dużych wad zgryzu, nie obgryza np. paznokci i czy nie zgrzyta zębami. Duże znaczenia ma także odpowiednia pielęgnacja, w tym regularne wizyty kontrolne u stomatologa, unikanie nadmiernego obciążania zębów i dbanie o higienę jamy ustnej.
- Spożywanie produktów barwiących (np. kawa, herbata, czerwone wino) oraz nadmierna konsumpcja cukrów i kwasów, mogą przyczyniać się do skrócenia trwałości bondingu poprzez wywoływanie przebarwień oraz osłabienie materiału. Zalety bondingu
- Szybkość – zabieg bondingu może być wykonany w ciągu jednej wizyty.
- Cena -tańsza alternatywa niż licówki.
- Mała inwazyjność – bonding zazwyczaj nie wymaga dodatkowego szlifowania zębów.
Wady bondingu
- Podatność na przebarwienia
- Konieczna wymiana po paru latach – bonding nie jest tak trwały jak licówki porcelanowe. Materiał kompozytowy może bowiem ulegać ścieraniu i szybciej się niszczyć . Z tego powodu może co jakiś czas wymagać poprawek lub wymiany.
- Możliwość uszkodzenia kompozytu, który jest podatny na pęknięcia, odkruszenia szczególnie w przypadku nadmiernego nacisku, np. podczas jedzenia twardszych pokarmów
